DOI: https://doi.org/10.1111/prd.12549
PMID: https://pubmed.ncbi.nlm.nih.gov/38305506
تاريخ النشر: 2024-02-02
المؤلف: Tord Berglundh وآخرون
الموضوع الرئيسي: تقنيات ونتائج زراعة الأسنان
نظرة عامة
التهاب المحيط بالزرع، حالة تتميز بالتهاب الأنسجة المحيطة بزراعة الأسنان، تم تعريفها لأول مرة في ورشة العمل الأوروبية الأولى حول أمراض اللثة. تشكل هذه الحالة تحديات كبيرة في ممارسة طب الأسنان بسبب ارتباطها بفشل الزرع والحاجة إلى استراتيجيات إدارة فعالة. كانت ورشة العمل تهدف إلى وضع توافق حول تشخيص وأسباب وعلاج أمراض المحيط بالزرع، مع تسليط الضوء على أهمية فهم العوامل البيولوجية والميكانيكية التي تسهم في الحالة.
ركزت الأبحاث اللاحقة على تحديد عوامل الخطر لالتهاب المحيط بالزرع، بما في ذلك سوء نظافة الفم، والتدخين، وتاريخ من أمراض اللثة. تؤكد النتائج على ضرورة المراقبة المنتظمة وصيانة زراعة الأسنان لمنع ظهور التهاب المحيط بالزرع. تم تطوير بروتوكولات علاجية فعالة، بما في ذلك التدخلات غير الجراحية والجراحية، مع التأكيد على دور الكشف المبكر والتدخل في الحفاظ على صحة الزرع وطول عمره.
الطرق
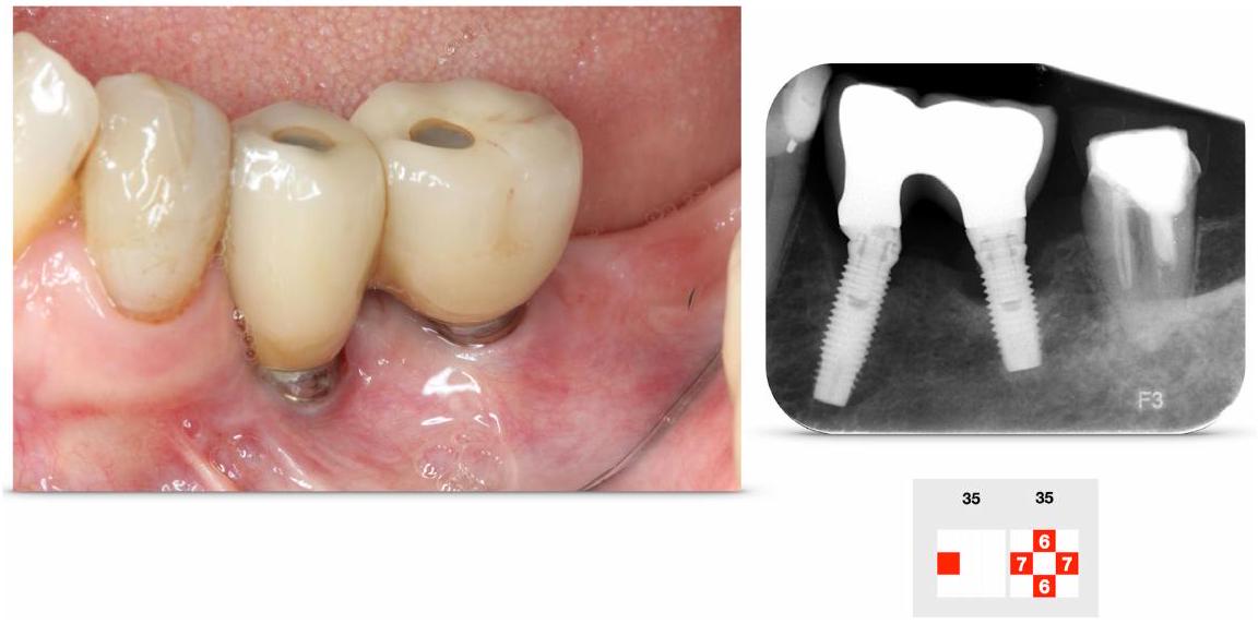
في قسم الطرق، تفحص الأبحاث فعالية تقنيات إعادة البناء المختلفة في علاج التهاب المحيط بالزرع، بما يتماشى مع الأدبيات الموجودة حول أمراض اللثة. تتضمن هذه التقنيات تطبيق طعوم بديلة للعظام، وأغشية، وعوامل نشطة حيوياً لمعالجة العيوب العظمية الناتجة عن المرض. تشمل الأهداف الرئيسية لهذه الطرق تجديد العيوب العظمية، وإعادة الاندماج العظمي، والحفاظ على ارتفاع الأنسجة الرخوة. معظم الدراسات التي تم مراجعتها هي أوروبية، حيث يقارن العديد منها بين طرق إعادة البناء وجراحة الفلپ الوصول، التي تعمل كتحكم.
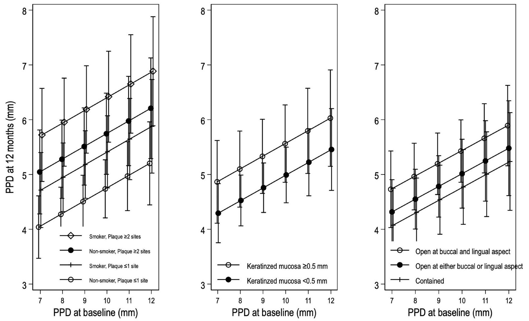
على الرغم من التقييم الواسع لهذه التقنيات، تشير المراجعات المنهجية إلى أن طرق إعادة البناء لا تحسن بشكل كبير النتائج الأولية مثل عمق جيب الاستكشاف والنزيف عند الاستكشاف. على سبيل المثال، وجدت تجربة عشوائية محكومة متعددة المراكز أجراها جيبسن وآخرون اختلافات طفيفة في تقليل عمق الاستكشاف بين مجموعتي التحكم والاختبار بعد 12 شهرًا. وبالمثل، أفادت دراسات أخرى، بما في ذلك تلك التي أجراها رينفرت وآخرون ودركس وآخرون، بنتائج قابلة للمقارنة بين المجموعات التي خضعت لتدخلات إعادة البناء وتلك التي لم تخضع لها. ومع ذلك، لاحظت بعض الدراسات تحسنًا في المعايير الشعاعية، مما يشير إلى فوائد محتملة في زيادة مستوى العظام، على الرغم من أن الأهمية السريرية لهذه النتائج لا تزال غير مؤكدة. بالإضافة إلى ذلك، تم تقييم تأثير التدابير الترميمية على مستويات الأنسجة الرخوة بشكل نادر، مع وجود بعض الأدلة التي تشير إلى انخفاض أقل في الانكماش في مجموعات الاختبار مقارنة بمجموعات التحكم.
المناقشة
تسلط قسم المناقشة في ورقة البحث الضوء على الزيادة المتزايدة في انتشار زراعة الأسنان والمخاطر المرتبطة بالتهاب المحيط بالزرع من منظور سكاني. تشير البيانات من السويد إلى زيادة كبيرة في عدد زراعة الأسنان المثبتة، مع انخفاض ملحوظ في متوسط عدد الزرعات لكل مريض بمرور الوقت. يكشف السجل السويدي للجودة حول تسوس الأسنان وأمراض اللثة (SKaPa) أن حوالي 4.7% من البالغين لديهم زراعة أسنان، مع انتشار أعلى في الفئات العمرية الأكبر. وهذا يشير إلى وجود عدد كبير من السكان المعرضين لخطر التهاب المحيط بالزرع، مما يبرز الحاجة إلى المراقبة الدقيقة وإدارة هؤلاء المرضى.
يناقش القسم أيضًا التباين في معدلات انتشار التهاب المحيط بالزرع المبلغ عنها، والتي تتراوح من 1% إلى 47%، ويرجع ذلك إلى حد كبير إلى اختلافات في تصميم الدراسات والتعريفات. وجدت دراسة وطنية في السويد أن 45% من المرضى أظهروا التهاب المحيط بالزرع، مع حالات معتدلة إلى شديدة تؤثر على 14.5%. تتماشى النتائج مع دراسات أوروبية أخرى، مما يشير إلى أن انتشار التهاب المحيط بالزرع قابل للمقارنة مع التهاب اللثة. تشمل عوامل الخطر لالتهاب المحيط بالزرع تاريخًا من التهاب اللثة، وسوء التحكم في اللويحات، وصيانة غير كافية، بينما لا يزال دور السكري والتدخين غير حاسم. تؤكد الورقة على الخصائص السريرية المميزة وأنماط التقدم لالتهاب المحيط بالزرع مقارنةً بالتهاب اللثة، مما يبرز الحاجة إلى أبحاث مستهدفة واستراتيجيات سريرية لمعالجة هذه القضية المتزايدة.
DOI: https://doi.org/10.1111/prd.12549
PMID: https://pubmed.ncbi.nlm.nih.gov/38305506
Publication Date: 2024-02-02
Author(s): Tord Berglundh et al.
Primary Topic: Dental Implant Techniques and Outcomes
Overview
Peri-implantitis, a condition characterized by inflammation of the tissues surrounding dental implants, was first defined at the inaugural European Workshop on Periodontology. This condition poses significant challenges in dental practice due to its association with implant failure and the need for effective management strategies. The workshop aimed to establish a consensus on the diagnosis, etiology, and treatment of peri-implant diseases, highlighting the importance of understanding the biological and mechanical factors contributing to the condition.
Subsequent research has focused on identifying risk factors for peri-implantitis, including poor oral hygiene, smoking, and a history of periodontal disease. The findings underscore the necessity for regular monitoring and maintenance of dental implants to prevent the onset of peri-implantitis. Effective treatment protocols, including non-surgical and surgical interventions, have been developed, emphasizing the role of early detection and intervention in preserving implant health and longevity.
Methods
In the section on methods, the research examines the efficacy of various reconstructive techniques in treating peri-implantitis, aligning with existing periodontal literature. These techniques involve the application of bone replacement grafts, membranes, and bioactive agents to address bony defects resulting from disease. The primary goals of these methods include the regeneration of bony defects, re-osseointegration, and preservation of soft tissue height. Most studies reviewed are European, with many comparing reconstructive methods to access flap surgery, which serves as a control.
Despite the extensive evaluation of these techniques, systematic reviews indicate that reconstructive methods do not significantly improve primary outcomes such as probing pocket depth and bleeding on probing. For instance, a multicenter randomized controlled trial by Jepsen et al. found minimal differences in probing depth reduction between the control and test groups after 12 months. Similarly, other studies, including those by Renvert et al. and Derks et al., reported comparable outcomes between groups with and without reconstructive interventions. However, some studies noted improvements in radiographic parameters, suggesting potential benefits in bone level gain, although the clinical significance of these findings remains uncertain. Additionally, the impact of reconstructive measures on soft tissue levels has been infrequently assessed, with some evidence indicating less recession in test groups compared to controls.
Discussion
The discussion section of the research paper highlights the increasing prevalence of dental implants and the associated risk of peri-implantitis from a population perspective. Data from Sweden indicates a significant rise in the number of dental implants installed, with a notable decrease in the average number of implants per patient over time. The Swedish Quality Registry on Caries and Periodontal Diseases (SKaPa) reveals that approximately 4.7% of adults have dental implants, with higher prevalence in older age groups. This suggests a substantial population at risk for peri-implantitis, emphasizing the need for careful monitoring and management of these patients.
The section further discusses the variability in reported prevalence rates of peri-implantitis, which range from 1% to 47%, largely due to differences in study designs and definitions. A nationwide study in Sweden found that 45% of patients exhibited peri-implantitis, with moderate to severe cases affecting 14.5%. The findings align with other European studies, indicating that peri-implantitis prevalence is comparable to that of periodontitis. Risk factors for peri-implantitis include a history of periodontitis, poor plaque control, and inadequate maintenance, while the role of diabetes and smoking remains inconclusive. The paper underscores the distinct clinical characteristics and progression patterns of peri-implantitis compared to periodontitis, highlighting the need for targeted research and clinical strategies to address this growing concern.
