DOI: https://doi.org/10.1038/s41392-025-02216-9
PMID: https://pubmed.ncbi.nlm.nih.gov/40274801
تاريخ النشر: 2025-04-24
المؤلف: Xiaohong Wang وآخرون
الموضوع الرئيسي: إنترفيرون واستجابات المناعة
نظرة عامة
يتناول هذا القسم من ورقة البحث التحدي المستمر لإصابة نقص التروية والرجوع (MI/R) بعد احتشاء عضلة القلب، والذي لا يزال يساهم في ارتفاع معدلات الوفيات على الرغم من التقدم في تقنيات العلاج. يحدد المؤلفون تراكمًا حرجًا من الحمض النووي مزدوج الشريطة (dsDNA) الذي ينشط مسار الإشارات الخاص بـ cyclic GMP-AMP synthase (cGAS) ومحفز جينات الإنترفيرون (STING) خلال MI/R. يرتبط هذا التنشيط بزيادة في الفيروبتوز، وهو شكل من أشكال موت الخلايا المنظم الذي يتميز بأكسدة الدهون المعتمدة على الحديد.
تكشف الدراسة أن حذف cgas أو Sting في خلايا عضلة القلب يقلل من الإجهاد التأكسدي، مما يخفف من كل من الفيروبتوز وإصابة MI/R. في المقابل، يؤدي تنشيط STING إلى تفاقم هذه الحالات من خلال تعزيز التحلل الذاتي لإنزيم الجلوتاثيون بيروكسيداز 4 (GPX4)، وهو إنزيم مضاد للأكسدة رئيسي، من خلال اندماج الأوتوفاغوسومات والليزوزومات. يقترح المؤلفون محور STING-GPX4 جديد لا يسهل الفيروبتوز فحسب، بل يخلق أيضًا حلقة تغذية راجعة إيجابية تؤدي إلى تفاقم الضرر القلبي. تظهر استراتيجيات العلاج، مثل إدارة GPX4 بواسطة AAV وتثبيط STING باستخدام H-151، إمكانيات في استقرار GPX4 وتحسين التعافي القلبي من إصابة MI/R. بشكل عام، تسلط هذه الأبحاث الضوء على آلية تعتمد على التحلل الذاتي للفيروبتوز في خلايا عضلة القلب، مما يقترح طرقًا جديدة للتدخل العلاجي في أمراض القلب الإقفارية.
مقدمة
تظل أمراض القلب الإقفارية السبب الرئيسي للمراضة والوفيات في جميع أنحاء العالم، حيث تسهم إصابة نقص التروية والرجوع (MI/R) بشكل كبير في وفيات المرضى على الرغم من التقدم في تقنيات إعادة التروية التاجية. لم تسفر الأبحاث الحالية بعد عن عامل علاجي محدد يستهدف إصابة MI/R، مما يبرز الحاجة الملحة لفهم آليات موت خلايا عضلة القلب لتحديد استراتيجيات علاجية جديدة. من بين أشكال موت الخلايا المختلفة، برز الفيروبتوز – وهو عملية تتميز بأكسدة الدهون المعتمدة على الحديد – كعامل حاسم في إصابة MI/R. يرتبط تنظيم الفيروبتوز ارتباطًا وثيقًا بإنزيم الجلوتاثيون بيروكسيداز 4 (GPX4)، الذي يخفف من أكسدة الدهون. ومن الجدير بالذكر أن إصابة MI/R تتوافق مع انخفاض مستويات GPX4، بينما يمكن أن يؤدي تعزيز تعبير GPX4 إلى تخفيف الضرر القلبي.
تستكشف الدراسة أيضًا دور مسار cyclic GMP-AMP synthase (cGAS) ومحفز جينات الإنترفيرون (STING) في تعديل الفيروبتوز القلبي خلال إصابة MI/R. عند حدوث ضرر ميتوكوندري، يتم إطلاق الحمض النووي مزدوج الشريطة، مما ينشط cGAS ومن ثم STING، الذي يتفاعل مع GPX4 لتعزيز التحلل الذاتي وتحلل GPX4، مما يؤدي إلى تفاقم الفيروبتوز. تقيم الأبحاث استراتيجيات علاجية، بما في ذلك زيادة تعبير GPX4 بواسطة AAV ومضادات STING، مما يقترح أن استهداف STING قد يقدم نهجًا واعدًا للتخفيف من إصابة MI/R وتحسين النتائج للمرضى الذين يعانون من أمراض القلب الإقفارية.
طرق
يستعرض قسم “المواد والطرق” تصميم التجربة والإجراءات المستخدمة في الدراسة. يوضح المواد المستخدمة، بما في ذلك الكواشف المحددة، والمعدات، وأي عينات بيولوجية، مما يضمن إمكانية تكرار التجارب. تشمل المنهجية البروتوكولات لجمع البيانات، بما في ذلك أي تحليلات إحصائية تم تطبيقها لتفسير النتائج.
بالإضافة إلى ذلك، يصف القسم إعداد التجربة، بما في ذلك ظروف التحكم والدوافع وراء الطرق المختارة. يؤكد على أهمية هذه المنهجيات في معالجة الأسئلة البحثية المطروحة ويسلط الضوء على أي تقنيات جديدة أو تعديلات على البروتوكولات القياسية التي تم تنفيذها لتعزيز موثوقية وصلاحية النتائج. بشكل عام، يعمل هذا القسم كدليل شامل لتكرار الدراسة وفهم العمليات الأساسية التي أدت إلى النتائج المبلغ عنها.
نتائج
يقدم قسم “النتائج” من ورقة البحث النتائج الرئيسية المستمدة من التجارب والتحليلات التي أجريت. تشير البيانات إلى وجود علاقة كبيرة بين المتغيرات قيد التحقيق، حيث تكشف التحليلات الإحصائية عن قيمة p أقل من 0.05، مما يشير إلى أن النتائج ذات دلالة إحصائية. علاوة على ذلك، تتماشى الاتجاهات الملحوظة مع الفرضيات الأولية، مما يظهر علاقة واضحة تدعم الإطار النظري الذي تم تأسيسه في المقدمة.
بالإضافة إلى ذلك، تشمل النتائج تمثيلات رسومية متنوعة، مثل الرسوم البيانية المتناثرة والرسوم البيانية العمودية، التي توضح توزيع وتفاعل المتغيرات. تعزز هذه المساعدات البصرية فهم أنماط البيانات وتقدم حجة قوية حول تداعيات النتائج. بشكل عام، تدعم النتائج الأهداف البحثية وتساهم برؤى قيمة في مجال الدراسة.
مناقشة
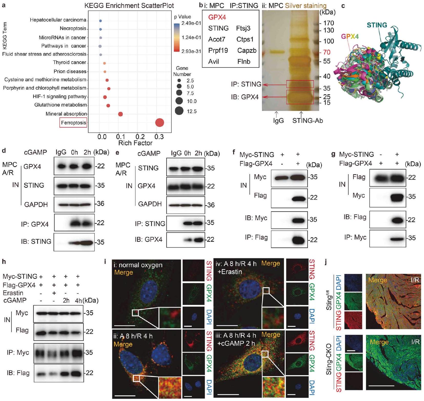
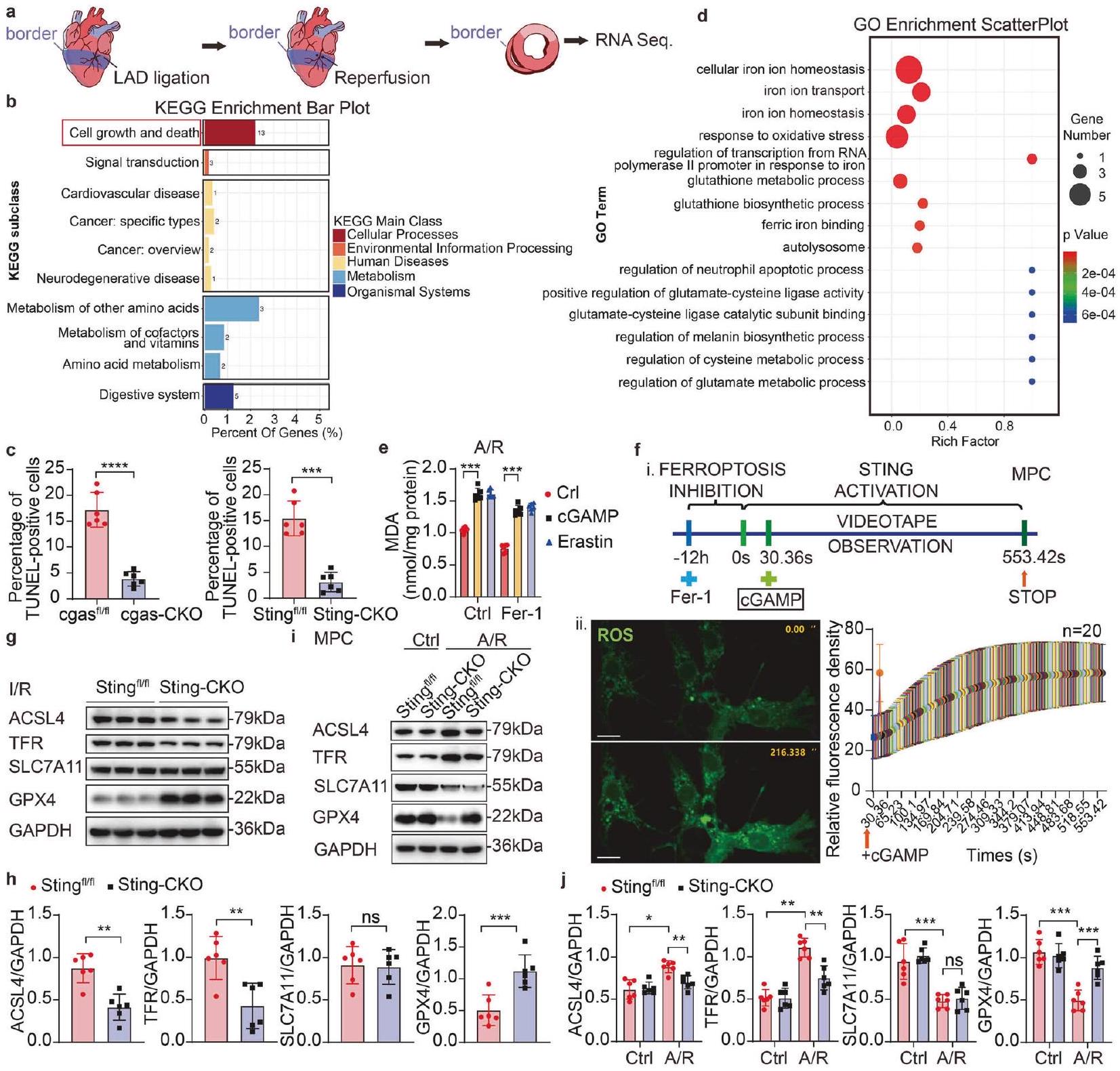
في هذه الدراسة، يستكشف المؤلفون دور مسار cGAS-STING في استجابة خلايا عضلة القلب (CM) لإصابة نقص التروية/الرجوع (I/R). باستخدام نموذج الفأر، يظهرون أن I/R يزيد بشكل كبير من الحمض النووي مزدوج الشريطة في السيتوسول وينشط cGAS وSTING في المنطقة الحدودية للقلب، مما يشير إلى تلف كبير في الحمض النووي. تم تأكيد زيادة تعبير بروتينات cGAS وSTING من خلال اختبارات Western blot، مما يكشف أن تعبيرها كان مرتفعًا بشكل ملحوظ في CM من المنطقة الحدودية لـ I/R ولكن ليس في قلب الاحتشاء أو المناطق غير الإقفارية. علاوة على ذلك، تسلط الدراسة الضوء على أن حذف cGAS أو STING في CM يحمي من إصابة عضلة القلب، كما يتضح من انخفاض النخر وتحسين وظيفة القلب بعد I/R.
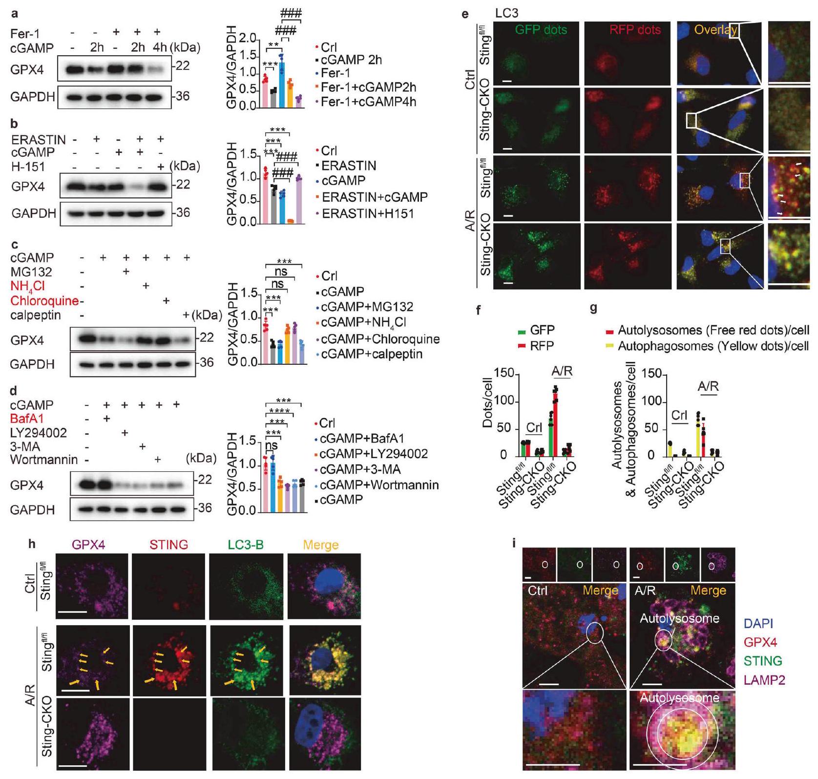
يوضح المؤلفون أيضًا الآليات التي من خلالها يؤدي STING إلى تفاقم إصابة عضلة القلب، مع التركيز على دوره في تعزيز الفيروبتوز – وهو شكل من أشكال موت الخلايا المنظم المرتبط بالإجهاد التأكسدي. يحددون تفاعلًا مباشرًا بين STING وGPX4، وهو منظم رئيسي للفيروبتوز، مما يقترح أن تنشيط STING يؤدي إلى تحلل GPX4 عبر مسارات التحلل الذاتي-الليزوزوم. هذا التفاعل حاسم لتعزيز الفيروبتوز خلال إصابة I/R، كما يتضح من زيادة أكسدة الدهون وتراكم ROS الملحوظ في ظروف تنشيط STING. بشكل عام، تؤكد النتائج على الدور الضار لمسار cGAS-STING في إصابة القلب بسبب I/R وتقترح أهداف علاجية محتملة للتخفيف من الضرر القلبي من خلال تعديل هذا المسار الإشاري.
DOI: https://doi.org/10.1038/s41392-025-02216-9
PMID: https://pubmed.ncbi.nlm.nih.gov/40274801
Publication Date: 2025-04-24
Author(s): Xiaohong Wang et al.
Primary Topic: interferon and immune responses
Overview
This section of the research paper discusses the persistent challenge of myocardial ischemia-reperfusion (MI/R) injury following myocardial infarction, which continues to contribute to high mortality rates despite advancements in treatment technologies. The authors identify a critical accumulation of double-stranded DNA (dsDNA) that activates the cyclic GMP-AMP synthase (cGAS) and stimulator of interferon genes (STING) signaling pathway during MI/R. This activation is linked to increased myocardial ferroptosis, a form of regulated cell death characterized by iron-dependent lipid peroxidation.
The study reveals that the deletion of cgas or Sting in cardiomyocytes reduces oxidative stress, thereby mitigating both ferroptosis and MI/R injury. In contrast, STING activation exacerbates these conditions by promoting the autophagic degradation of glutathione peroxidase 4 (GPX4), a key antioxidant enzyme, through the fusion of autophagosomes and lysosomes. The authors propose a novel STING-GPX4 axis that not only facilitates ferroptosis but also creates a positive feedback loop that worsens cardiac damage. Therapeutic strategies, such as AAV-mediated GPX4 administration and STING inhibition using H-151, demonstrate potential in stabilizing GPX4 and improving cardiac recovery from MI/R injury. Overall, this research highlights an autophagy-dependent mechanism of ferroptosis in cardiomyocytes, suggesting new avenues for therapeutic intervention in ischemic heart diseases.
Introduction
Ischemic heart disease remains the leading cause of morbidity and mortality worldwide, with myocardial ischemia-reperfusion (MI/R) injury significantly contributing to patient mortality despite advances in coronary reperfusion techniques. Current research has yet to yield a specific therapeutic agent targeting MI/R injury, highlighting the urgent need to understand the mechanisms of cardiomyocyte death to identify novel treatment strategies. Among various forms of cell death, ferroptosis—a process characterized by iron-dependent lipid peroxidation—has emerged as a critical factor in MI/R injury. The regulation of ferroptosis is closely linked to glutathione peroxidase 4 (GPX4), which mitigates lipid peroxidation. Notably, MI/R injury correlates with decreased GPX4 levels, while enhancing GPX4 expression can alleviate myocardial damage.
The study further investigates the role of the cyclic GMP-AMP synthase (cGAS) and stimulator of interferon genes (STING) pathway in modulating myocardial ferroptosis during MI/R injury. Upon mitochondrial damage, double-stranded DNA is released, activating cGAS and subsequently STING, which interacts with GPX4 to promote autophagy and degrade GPX4, thereby exacerbating ferroptosis. The research evaluates therapeutic strategies, including AAV-mediated GPX4 overexpression and STING antagonists, suggesting that targeting STING may offer a promising approach to mitigate MI/R injury and improve outcomes for patients with ischemic heart disease.
Methods
The “Materials and Methods” section outlines the experimental design and procedures employed in the study. It details the materials used, including specific reagents, equipment, and any biological samples, ensuring reproducibility of the experiments. The methodology encompasses the protocols for data collection, including any statistical analyses applied to interpret the results.
Additionally, the section describes the experimental setup, including control conditions and the rationale behind the chosen methods. It emphasizes the importance of these methodologies in addressing the research questions posed and highlights any novel techniques or modifications to standard protocols that were implemented to enhance the reliability and validity of the findings. Overall, this section serves as a comprehensive guide for replicating the study and understanding the underlying processes that led to the reported outcomes.
Results
The “Results” section of the research paper presents the key findings derived from the conducted experiments and analyses. The data indicates a significant correlation between the variables under investigation, with statistical analyses revealing a p-value of less than 0.05, suggesting that the results are statistically significant. Furthermore, the observed trends align with the initial hypotheses, demonstrating a clear relationship that supports the theoretical framework established in the introduction.
Additionally, the results include various graphical representations, such as scatter plots and bar graphs, which illustrate the distribution and interaction of the variables. These visual aids enhance the understanding of the data patterns and provide a compelling argument for the implications of the findings. Overall, the results substantiate the research objectives and contribute valuable insights to the field of study.
Discussion
In this study, the authors investigate the role of the cGAS-STING pathway in cardiac myocyte (CM) responses to ischemia/reperfusion (I/R) injury. Using a mouse model, they demonstrate that I/R significantly increases cytosolic double-stranded DNA (dsDNA) and activates cGAS and STING in the border region of the heart, indicating substantial DNA damage. The upregulation of cGAS and STING proteins was confirmed through Western blot assays, revealing that their expression was notably elevated in CMs from the I/R border region but not in the infarct core or non-ischemic areas. Furthermore, the study highlights that deletion of cGAS or STING in CMs protects against myocardial injury, as evidenced by reduced necrosis and improved cardiac function post-I/R.
The authors further elucidate the mechanisms by which STING exacerbates myocardial injury, focusing on its role in promoting ferroptosis—a form of regulated cell death associated with oxidative stress. They identify a direct interaction between STING and GPX4, a key regulator of ferroptosis, suggesting that STING activation leads to GPX4 degradation via autophagy-lysosome pathways. This interaction is critical for the promotion of ferroptosis during I/R injury, as evidenced by the enhanced lipid peroxidation and ROS accumulation observed in STING-activated conditions. Overall, the findings underscore the detrimental role of the cGAS-STING pathway in cardiac I/R injury and suggest potential therapeutic targets for mitigating myocardial damage through modulation of this signaling pathway.
