DOI: https://doi.org/10.1038/s41598-024-53733-6
PMID: https://pubmed.ncbi.nlm.nih.gov/38342924
تاريخ النشر: 2024-02-12
المؤلف: A. M. El-Assy وآخرون
الموضوع الرئيسي: كشف وتصنيف أورام الدماغ
نظرة عامة
تقدم هذه البحث بنية جديدة لشبكة عصبية تلافيفية (CNN) مصممة للكشف المبكر عن مرض الزهايمر (AD) باستخدام بيانات التصوير بالرنين المغناطيسي (MRI) من مجموعة بيانات مبادرة تصوير مرض الزهايمر (ADNI). تتكون البنية من نموذجين مختلفين من CNN يستخدمان أحجام مرشحات مختلفة وطبقات تجميع، والتي يتم دمجها بعد ذلك في طبقة تصنيف. يعالج النموذج بفعالية مهام التصنيف متعددة الفئات عبر ثلاث وأربع وخمس فئات، محققًا معدلات دقة مثيرة للإعجاب تبلغ 99.43% و99.57% و99.13% على التوالي. تسلط هذه النتائج الضوء على قدرة النموذج على استخراج وتمييز الميزات ذات الصلة من صور MRI، مما يسهل التصنيف الدقيق لأنواع وأطوار مرض الزهايمر.
تؤكد الدراسة على الأهمية السريرية للتصنيف الدقيق لمرض الزهايمر، والذي يمكن أن يعزز الكشف المبكر، وتخطيط العلاج الشخصي، ومراقبة المرض. لا يظهر الأسلوب المقترح أداءً متفوقًا مقارنةً بالأبحاث السابقة فحسب، بل يمهد أيضًا الطريق للتدخلات الاستباقية التي يمكن أن تحسن نتائج المرضى. ستسعى الأعمال المستقبلية إلى التحقق من صحة هذا النهج مع مجموعات بيانات أكبر، وتقييم قابليته للتطبيق في البيئات السريرية، واستكشاف دمج أنماط بيانات إضافية لتعزيز دقة التشخيص بشكل أكبر.
طرق
في هذا القسم، يوضح المؤلفون المواد المستخدمة لتدريب نموذج شبكة عصبية تلافيفية (CNN) تهدف إلى التعرف على مراحل مرض الزهايمر (AD). يحددون مصدر البيانات التي تم اشتقاق مجموعة البيانات منها، مع التأكيد على أهميتها وملاءمتها لهذه المهمة. بالإضافة إلى ذلك، يصف المؤلفون تقنيات المعالجة المسبقة المطبقة على الصور داخل مجموعة البيانات، والتي تعتبر حاسمة لتعزيز أداء النموذج ودقته في تحديد مراحل مرض الزهايمر المختلفة. من المحتمل أن تشمل هذه الأساليب المسبقة التطبيع، والتعزيز، واستراتيجيات تحسين الصور الأخرى لضمان أن تكون مجموعة البيانات قوية ومناسبة للتدريب الفعال.
نتائج
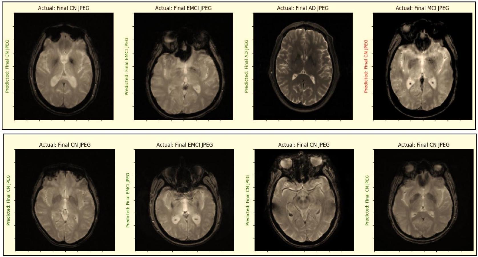
في هذا القسم، يوضح المؤلفون المنهجية التجريبية ونتائج دراستهم على نموذج شبكة عصبية تلافيفية (CNN) المدمجة المطبقة على بيانات التصوير بالرنين المغناطيسي (MRI) من مبادرة تصوير مرض الزهايمر (ADNI). تم تعزيز مجموعة البيانات باستخدام تقنية ADASYN لمعالجة عدم توازن البيانات، مما أسفر عن إجمالي 3,000 صورة. ثم تم تقسيم البيانات إلى مجموعات تدريب، والتحقق، والاختبار. يدمج النموذج المقترح شبكتين عصبيتين تلافيفيتين مختلفتين، تم تدريبهما على مجموعة بيانات MRI متعددة الفئات من 5 طرق. تم استخدام مقاييس الأداء، بما في ذلك الدقة، والاسترجاع، والدقة، والدقة المتوازنة، ومعامل ارتباط ماثيو، ودالة الخسارة، لتقييم أداء الشبكات الفردية والمجمعة.
تشير النتائج إلى أن تقليل حجم المرشح يمكن أن يعزز نتائج التصنيف؛ على وجه الخصوص، تتطلب CNN2، التي تستخدم مرشح $5 \times 5$، ضعف عدد المرشحات مقارنةً بـ CNN1، التي تستخدم مرشح $3 \times 3$، لتحقيق دقة مماثلة. من الجدير بالذكر أن الشبكة المجمعة تفوقت على كل من الشبكات الفردية، مما يدل على تحسين الدقة بسبب الطبيعة التكميلية للنموذجين. تم التحقق من فعالية هذا النهج المدمج عبر مهام تصنيف متنوعة، بما في ذلك مشاكل التصنيف متعددة الفئات من ثلاث وأربع وخمس طرق، مع تلخيص مقاييس الأداء في الجدول 8 وتصويرها في الشكل 6، الذي يوضح دقة التدريب مقابل دقة التحقق والخسارة عبر التحديات التصنيفية المختلفة.
مناقشة
تسلط قسم المناقشة في ورقة البحث الضوء على فعالية النموذج المقترح للكشف المبكر عن مرض الزهايمر (AD) باستخدام بيانات التصوير بالرنين المغناطيسي. يظهر النموذج، الذي يدمج شبكتين عصبيتين تلافيفيتين (CNNs) مدمجتين في طبقة تصنيف، أداءً متفوقًا في التمييز بين مراحل مرض الزهايمر المختلفة، بما في ذلك ضعف الإدراك الخفيف (MCI) والمراقبين الأصحاء (CN). تشير النتائج إلى أن الطريقة المقترحة تتفوق على النماذج الحالية من حيث الدقة عبر تصنيفات متعددة الفئات من ثلاث وأربع وخمس طرق، كما يتضح من التحليلات المقارنة مع الدراسات المنشورة سابقًا.
تشمل المزايا الرئيسية للنهج المقترح قدرته على التعامل مع تصنيفات متعددة في وقت واحد، وطبيعته غير الغازية المناسبة للإعدادات السريرية، وإلغاء الحاجة إلى استخراج الميزات يدويًا، والذي غالبًا ما يكون ذاتيًا ويتطلب جهدًا كبيرًا. ومع ذلك، تعترف الدراسة بالقيود، مثل الاعتماد على مجموعة بيانات MRI من ADNI، والتي قد تقيد القابلية للتعميم، وغياب دمج البيانات السريرية. بشكل عام، تشير النتائج إلى أن الطريقة المعتمدة على CNN المقترحة يمكن أن تعزز بشكل كبير من تشخيص مرض الزهايمر المبكر، مما قد يؤدي إلى تحسين نتائج المرضى.
DOI: https://doi.org/10.1038/s41598-024-53733-6
PMID: https://pubmed.ncbi.nlm.nih.gov/38342924
Publication Date: 2024-02-12
Author(s): A. M. El-Assy et al.
Primary Topic: Brain Tumor Detection and Classification
Overview
This research presents a novel convolutional neural network (CNN) architecture designed for the early detection of Alzheimer’s disease (AD) using magnetic resonance imaging (MRI) data from the Alzheimer’s Disease Neuroimaging Initiative (ADNI) dataset. The architecture comprises two distinct CNN models that utilize varying filter sizes and pooling layers, which are subsequently concatenated in a classification layer. The model effectively addresses multi-class classification tasks across three, four, and five categories, achieving impressive accuracy rates of 99.43%, 99.57%, and 99.13%, respectively. These results highlight the model’s capability to extract and differentiate relevant features from MRI images, thereby facilitating precise classification of AD subtypes and stages.
The study underscores the clinical significance of accurate AD classification, which can enhance early detection, personalized treatment planning, and disease monitoring. The proposed method not only demonstrates superior performance compared to previous research but also paves the way for proactive interventions that could improve patient outcomes. Future work will aim to validate this approach with larger datasets, assess its applicability in clinical environments, and explore the integration of additional data modalities to further enhance diagnostic accuracy.
Methods
In this section, the authors detail the materials utilized for training a convolutional neural network (CNN) model aimed at recognizing phases of Alzheimer’s Disease (AD). They specify the data source from which the dataset was derived, emphasizing its relevance and suitability for the task. Additionally, the authors describe the preprocessing techniques applied to the images within the dataset, which are critical for enhancing the model’s performance and accuracy in identifying the various AD phases. These preprocessing methods likely include normalization, augmentation, and other image enhancement strategies to ensure the dataset is robust and conducive to effective training.
Results
In this section, the authors detail the experimental methodology and results of their study on a combined convolutional neural network (CNN) model applied to MRI data from the Alzheimer’s Disease Neuroimaging Initiative (ADNI). The dataset was augmented using the ADASYN technique to address data imbalance, resulting in a total of 3,000 images. The data was then partitioned into training, validation, and test sets. The proposed model integrates two distinct CNNs, which were trained on a 5-way multiclass MRI dataset. Performance metrics, including accuracy, recall, precision, balanced accuracy, Matthew’s correlation coefficient, and loss function, were employed to evaluate the individual and combined network performances.
The findings indicate that reducing filter size can enhance classification results; specifically, CNN2, which utilizes a $5 \times 5$ filter, requires double the number of filters compared to CNN1, which employs a $3 \times 3$ filter, to achieve similar accuracy. Notably, the combined network outperformed both individual networks, demonstrating improved accuracy due to the complementary nature of the two models. The effectiveness of this combined approach was further validated across various classification tasks, including benchmark three-way, four-way, and five-way multiclass problems, with performance metrics summarized in Table 8 and visualized in Figure 6, which illustrates training versus validation accuracy and loss across the different classification challenges.
Discussion
The discussion section of the research paper highlights the effectiveness of a proposed model for the early detection of Alzheimer’s disease (AD) using MRI data. The model, which integrates two convolutional neural networks (CNNs) concatenated in a classification layer, demonstrates superior performance in distinguishing between various stages of AD, including mild cognitive impairment (MCI) and healthy controls (CN). The results indicate that the proposed method outperforms existing models in terms of accuracy across three-way, four-way, and five-way multiclass classifications, as evidenced by comparative analyses with previously published studies.
Key advantages of the proposed approach include its ability to handle multiple classifications simultaneously, its non-invasive nature suitable for clinical settings, and the elimination of manual feature extraction, which is often subjective and labor-intensive. However, the study acknowledges limitations, such as reliance on the ADNI MRI dataset, which may restrict generalizability, and the absence of clinical data integration. Overall, the findings suggest that the proposed CNN-based method could significantly enhance early AD diagnosis, potentially leading to improved patient outcomes.
